Carillas dentales en Madrid | Serrano Clínica Dental
Carillas dentales Mejora color, forma y armonía de tu sonrisa con una valoración personalizada
Solicitar información
Carillas dentales en Serrano Clínica Dental
Estudio estético personalizado Valoramos forma, color, proporción y naturalidad antes de proponerte una solución
Carillas con enfoque natural Buscamos que tu sonrisa se vea armónica, elegante y coherente contigo
Madrid · Barrio de Salamanca Calle Hermosilla 101 para atenderte con calma y explicarte tu caso con claridad
Carillas dentales

Se buscan 30 personas que quieran volver a sonreír con seguridad con carillas dentales

Si no te convence el color, la forma, el tamaño o pequeñas asimetrías de tu sonrisa, en Serrano Clínica Dental estudiamos tu caso y te orientamos hacia la mejor opción para ti
Carillas dentales · Diseño de sonrisa · Explicación clara · Tratamiento personalizado

SERVICIO Carillas dentales Diseño de sonrisa Estudio personalizado Cita en Madrid
Corrige color, forma y pequeñas asimetrías Trabajamos una propuesta estética pensada para que se vea bonita y natural
Plan claro desde la primera visita Te explicamos qué se puede mejorar, cómo se haría y qué encaja mejor contigo
Enfoque completamente personalizado No se trata de poner carillas porque sí, sino de diseñar una sonrisa equilibrada para tu caso
Diseño natural Sonrisa armónica Atención personalizada
Ubicación
Estamos en Madrid
Ir al formulario

Calle Hermosilla 101 Madrid 28006 · Tel: +34 616 40 07 64

Deja tus datos en el formulario y te contactan para orientarte sobre carillas dentales

Resultado estético
Pequeños cambios pueden transformar por completo una sonrisa

El objetivo no es que tu sonrisa se vea artificial, sino que se vea más limpia, proporcionada y segura Solicita tu valoración para estudiar qué se puede mejorar en tu caso

Color Forma Armonía
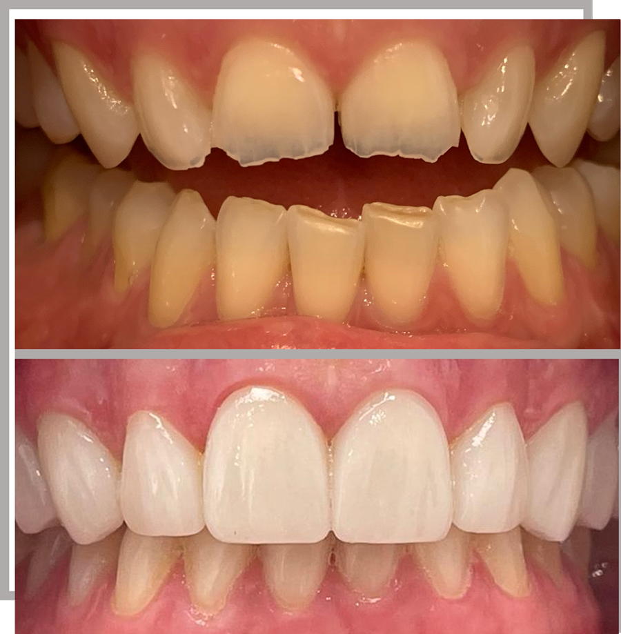
Antes / Después Estética dental
1 / 5
Antes y después carillas 1
Antes y después carillas 2
Antes y después carillas 3
Antes y después carillas 4
Antes y después carillas 5
Desliza o usa las flechas
Qué suele preocupar
Lo que muchas personas quieren corregir de su sonrisa
Hablar por WhatsApp

Cuando una sonrisa no refleja cómo te gustaría verte, suele afectar tu seguridad al hablar, sonreír o hacerte fotos

No te convence el color de tus dientes
Color y brillo
No te convence el color de tus dientes
Buscas una sonrisa más limpia, luminosa y cuidada sin que se vea artificial
Ves dientes desiguales, pequeños o desgastados
Forma y proporción
Ves dientes desiguales, pequeños o desgastados
Quieres mejorar forma y armonía para que la sonrisa se vea más proporcionada
Te cuesta sonreír con naturalidad
Seguridad
Te cuesta sonreír con naturalidad
El objetivo es que vuelvas a sentirte cómoda al hablar, sonreír y mostrarte de cerca
Primera toma de contacto
Solicita tu valoración para carillas

Estudiamos tu sonrisa y te orientamos con criterio para saber qué mejora encaja contigo Sin promesas genéricas y con una explicación clara desde el primer momento

Carillas
con enfoque natural y personalizado
Estudio de tu sonrisa
Analizamos qué se puede mejorar y qué tiene sentido hacer en tu caso
Propuesta personalizada
Te explicamos el enfoque recomendado según tus objetivos estéticos
Plan claro
Sales con más claridad sobre el proceso y el resultado que buscas
Proceso
Cómo se valora un caso de carillas
Solicitar información

Todo empieza entendiendo qué te gustaría mejorar y qué resultado sería natural para ti

1
Valoración inicial

Escuchamos qué te gustaría cambiar de tu sonrisa y revisamos tu punto de partida

2
Diseño y enfoque

Te explicamos la propuesta estética más adecuada para mejorar forma, color y armonía

3
Plan de tratamiento

Quedas orientada con un siguiente paso claro y un tratamiento pensado para tu caso

Qué vas a encontrar
Una experiencia pensada para cuidar el resultado y la naturalidad
Consultar ahora

La clave no está solo en cambiar dientes, sino en que el resultado encaje contigo, con tus facciones y con la forma en la que quieres verte

Diagnóstico personalizado Estética natural Atención cercana
Recepción de la clínica
Atención clara desde el inicio
Queremos que entiendas tu caso y tomes la decisión con tranquilidad
Equipo clínico
Enfoque estético
Cada sonrisa se estudia buscando equilibrio, proporción y naturalidad
Clínica dental en Madrid
Clínica moderna en Madrid
Un entorno cuidado para que tu tratamiento se viva con confianza y comodidad
Equipo Serrano Clínica Dental
Trato cercano
Importa tanto el resultado final como cómo te sientes durante todo el proceso
Reserva
Pide información sobre carillas
Ir al formulario

Completa el formulario y te contactan para revisar tu caso y orientarte sobre el tratamiento

El objetivo de esta página es que el paciente interesado en carillas pueda dejar sus datos de forma rápida y que el equipo revise su caso con criterio

Carillas Diseño de sonrisa Madrid Formulario directo
Formulario de valoración Completa tus datos y el equipo se pondrá en contacto contigo